セラミック・審美治療

HOME | 診療情報 | セラミック・審美治療

当院で行っている審美治療としましては、、

  1. 「e.max(プレス式オールセラミック)」による歯冠修復
  2. 「ジルコニア(CAM式オールセラミック)」による歯冠修復
  3. 「ホワイトニング」

がメインとなります。
材質ごとに得手不得手がありますので、カウンセリング時にお話させて頂きます。

診療手順

  1. レントゲン・視診検査、大まかな見積もり発行
  2. カウンセリング、治療方針決定
  3. 実際の治療
  4. 終了後メンテナンス

 

 

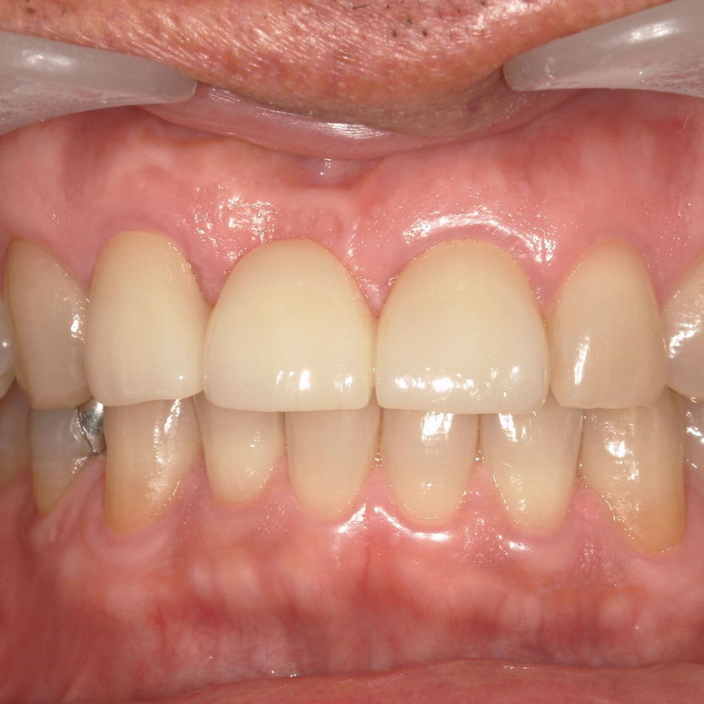
オールセラミックインレー(白い詰め物)
白く強い歯に修復

荒瀬歯科院ではオールセラミック冠(e.max)の、完全院内製作体制を完備しております。昨年の6月から、白い詰め物(オールセラミック・インレー)の価格を改定致してご提供させて頂いております。形態にかかわらず、e.maxインレー(白いセラミックの詰め物)を24,800円/本で皆様に提供させて頂きます。(保証期間3ヶ月間)
リーズナブルなオールセラミック治療だと自負しておりますが、安いからと言って手を抜いてる訳ではありません。

通法通りの形成・印象、技工士による模型製作、ワックスパターン製作、ロストワックス、セラミックプレス、研磨、色焼き、艶焼き、最終研磨の工程を経て、患者様のセラミック技工物は出来上がります。装着には、スチーマにより脱脂、シラン処理を行った後、3M−ESPE社の最新接着剤「リライエックス アルティメット レジン セメント」を使用して装着します
いままで、強度の高いオールセラミックス e.max インレーを金額面で諦めていた方に朗報です。
また、e.max(オールセラミックス)は、アレルギーフリーです。審美性だけでなく、金属によるアレルギー素因の在る方にも朗報となると思います。

※e-maxインレーについて。
 
保険外治療になります。予めご予約下さい。受診に際しては当該歯牙の前処置として、保険治療が必要な場合が在りますので「保険証」をお持ち下さい。保険診療と同日の治療は出来ません。
 
24,800円のオールセラミックインレーとは、ステインレス方式e-maxインレーを指します。保証期間は3ヶ月間です。保証を受ける為には定期的なメンテナンス来院が必須となります。また、装着予定日を3ヶ月以上過ぎて、放置された場合は破棄処分させて頂きます。この場合、再治療は初めからの料金がかかります。
 
ステインレス方式なので、既存歯質との微妙な色合わせは出来ません。
微妙な色合わせをご希望の場合は、他の方法でのセラミック冠をお勧めします。

欠損部位が大きい場合、e.max冠をお勧めする場合が在ります。
ご不明な点など、詳しくは歯科医師にお尋ね下さい。


 

 

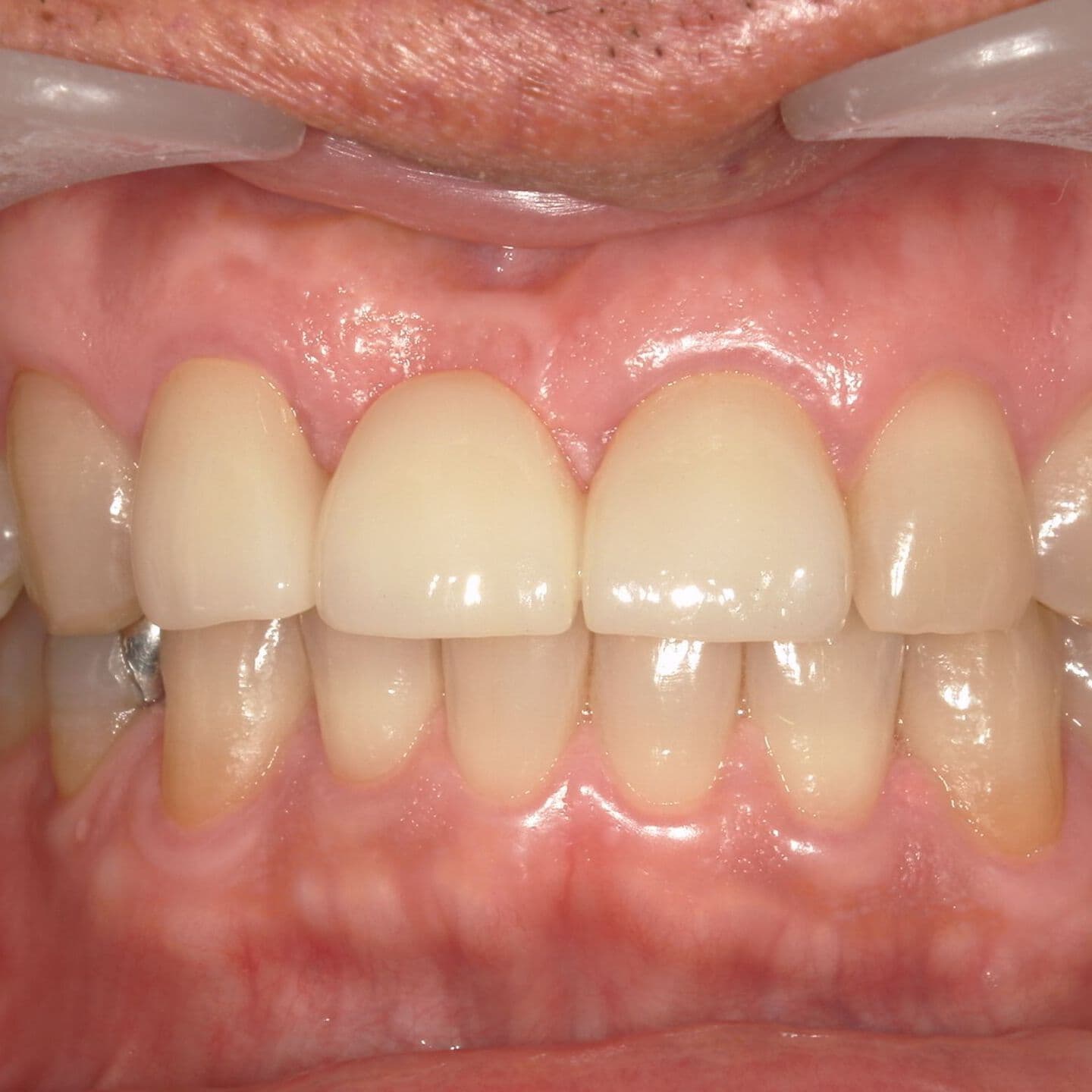
オールセラミック冠(白い歯)
白く強い歯でありたい

ホワイトニングでは対応できない以前に治療して、かぶせてしまってる歯。年々表面のプラスティックは変色し、黄色くなってくる。。。金属の縁も見え始めて。。。
でも、あきらめる前に相談して下さい。
 
荒瀬歯科医院では、オールセラミック冠を 34,800円(税込み)で、患者様に提供させて頂いております。
e.maxと呼ばれるプレス式のセラミック冠です。(当院では、アウターステイン方式のものに限り、この金額で提供致します。また保証期間は1年間です。※保証を受ける為には定期的なメンテナンス来院が必須となります。)
さぁ、この機会に、輝く美しい口元へと変身しましょう。

※e-max冠について。

保険外治療になります。予めご予約下さい。受診に際しては当該歯牙の前処置として、保険治療が必要な場合が在りますので「保険証」をお持ち下さい。保険診療と同日の治療は出来ません。
 
34,800円のオールセラミック冠とは、アウターステイン方式e-max冠を指します。保証期間は1年間です。保証を受ける為には定期的なメンテナンス来院が必須となります。また、装着予定日を3ヶ月以上過ぎて、放置された場合は破棄処分させて頂きます。(仮歯も3ヶ月で処分させて頂きます。)この場合、再治療は初めからの料金がかかります。
 
アウターステイン方式なので、隣在歯との微妙な色合わせは出来ません。追加料金で、技工士による色合わせと、微妙な色彩を表現できる「陶材焼成」を行います。
セラミック治療に先立ち、根っこの治療が必要な場合があります。これには、健康保険が適応されます。
 
土台が必要な場合、白いファイバーコア料金が別途必要です。
 
ご不明な点など、詳しくは歯科医師にお尋ね下さい。


 

 

 

 

 

ジルコニアライト登場!
白く強いオールセラニック。

左上の画像が何だかわかりますか?
現在当院で使用中の保険の銀歯の材料で「金銀パラジウム」と言います。R5年7月の金額で30g1枚が税込み約9万円です。
院長荒瀬が先代の父親の診療所を手伝っていた約25年前は9,000円でした。そうです、単純に保険診療にかかる原価材料費が9倍になっています。ですが当然なのですが保険診療費は9倍になっておりません。製造原価に占める金属材料代の比率もあるので単純な比較は出来ないのですが、どうにも合わない原価率である事はご理解頂けると思います。(保険診療費に消費税は付かないのに、その材料原価に消費税が付与されるのも、おかしな話です。)
 
当院では院内に技工士が常駐し、彼が保険をはじめ技工物を作っているので、ギリギリ赤字にはならないところで踏みとどまっていますが、この金属の中に使われている「パラジウム」という金属の値段は現在では金と同等で、プラチナの2倍近い金額となっており、産業需要が大きいために今後も大きく値下がりをする事はないと考えられます。

外注技工を利用されてる他院では、保険診療で認められているもうワンランク下の銀合金に軸足を移した病院もそれなりにあるようです。当院でもそのような金属の使用に切り替えるかどうか?技工士を含めずいぶんと話し合いをしましたが、銀合金は鋳造精度が落ちる事、銀イオンの溶出により残った歯や金属自体が黒変する事、強度的にも金パラ合金に劣る事等々を考えた時に、やはり自院の患者さんに使いたくないと言う結論に達しました。
 
そして幸いにして、当院にはジルコニアのスキャン装置、院内技工士そして、オールセラミックに対する設計ノウハウなど、他院ではあまりこれまで必要とは思われなかった技術や知識を有しております。これを開放する事により、この際もっと上質な医療を患者さんに提供できるのではないかという結論に達しました。
 
強度を増すためのシンタリングという窯焼き作業までは行うのですが、その後の色付けのための窯焼き作業をせずに、地色のまま研磨にて艶出しを行う事により、大幅な値下げを実現しました。ただし注意書きにもありますように、単色仕上げとなりますので、微細な色合わせは出来ません。従来のジルコニア冠やe.max冠と使い分けていただければ幸いです。

※ジルコニア治療について。

保険外治療になります。予めご予約下さい。受診に際しては当該歯牙の前処置として、保険治療が必要な場合が在りますので「保険証」をお持ち下さい。
保険診療とは同日に行う事が出来ません。
 
24,800 円のジルコニア冠とは、色合わせなしの単色フルジルコニア冠を指します。保証期間はありません。色合わせをしませんので、隣在歯と色は合いません。
 
セラミック治療に先立ち、根っこの治療が必要な場合があります。これには、健康保険が適応されます。
印象採得後、予定装着日を6 ヶ月過ぎても来院されない場合、出来上がり装着物を破棄させて頂きます。この場合、再治療は初めからの料金がかかります。(仮歯は3ヶ月で処分させて頂きます。)
 
土台が必要な場合、白いファイバーコア料金が別途必要です。
 
連結が必要な場合、連結作業料1,100 円/1ヶ所がかかります。
 
ご不明な点など、詳しくは歯科医師にお尋ね下さい。


 

 

オフィスホワイトニング
白い歯でありたい

白い歯と眩しい笑顔。。。誰もがそう願うはず。それが1,980円/本で手に入れられるかも知れないとしたら。。。
もう迷っている時では無いのかも。さぁ、美への扉を開きましょう。
 

荒瀬歯科医院では、1本当たり1,980円でオフィスホワイトニングを、患者様に提供させて頂きます。
ホワイトニングキットはアメリカ製、ウルトラデント社・オパールエッセンスです。
 
当院では、ホームホワイトニングも、オパールエッセンスを使用しております。

※ホワイトニングについて。
 
予めご予約下さい。受診に際しては「保険証」をお持ち下さい。前処置として保険治療が必要な場合が在ります。その場合、保険治療と同日の施術は出来ません。
 
1,980円/本のホワイトニングとは、オフィスホワイトニングを指します。
2度目のご希望がある場合、半額でオフィスホワイトニングを実施します。(1回目から起算して、3ヶ月以内)
3回目は原則として、歯牙保護の観点から2回目の施術から起算して6ヶ月以上期間を開けるようお勧めしております。
 
ホームホワイトニングは、14,800円(税込)です。ホワイトニングのカウンセリング、あなたの専用マウスピース製作、ホワイトニングジェル(3g×4本:約3週間分)を代金に含みます。追加でホワイトニングジェルを購入することも出来ます。
 
ホワイトニングに先だって歯のお掃除が必要です。
 
ホームホワイトニング中は、食事制限(色素の強いもの:カレー、ワイン、かぼちゃ等)があります。
 
ホワイトニングで全ての歯が白くなる訳ではありません。詳しくは歯科医師にお尋ね下さい。


セラミック・ホワイトニング

 
  処置内容 施術料(税込み)

e.max

【オールセラミック】

インレー
[ステインレス]
 24,800円/本
クラウン【アウターステイン】 34,800円/本
クラウン【カットバック焼成】 59,800円/本
ジルコニア
【オールセラミック】
ライト【ステインレス】 24,800円/本
クラウン【アウターステイン】 49,800円/本
クラウン【カットバック焼成】 79,800円 /本
メタルボンド セミプレシャス・焼成 89,800円/本
ハイブリッド 金パラフレーム 39,800円 /本
ファイバーコア 白い土台 7,700円/1根管あたり
     
オフィスホワイトニング オフィスホワイトニング【60分】

1,980円/本・初回

 【3ヶ月以内の2回目は半額】

ホームホワイトニング ホームホワイトニング【片顎 14,800円 /セット【約1ヶ月分】
     
仮歯 レジン製仮歯 2,200円/本 
     
 

 

金属系かぶせもの

 
  処置内容 施術料(税込み)
ゴールド冠(前装冠含む) 18Kゴールド冠  110,000円/本
ゴールドインレー 18Kゴールドインレー 77,000円/本
金パラ冠 金パラ冠(保外) 22,000円/本
金パラ前装冠 金パラ前装冠(保外) 33,000円/本
 

 

義歯関係

 
  処置内容 施術料(税込み)
金属床 コバルトクロム床  440,000円
チタン床 440,000円
金床 770,000円
セレーブデンチャー 55,000円/床
11,000円/歯
1床1歯の場合 66,000円 
2床5歯の場合 165,000円